Become a Member
Dark Mode
Become a Member
Uncovering Hate
Climate Change
Reinvent With Accenture
WebQoof
Scamguard
Raghav's Take
My Report
Opinion
Naukri Crisis
More
Members Only
Brand Studio
World
Politics
Explainers
Videos
Entertainment
The Quint Lab
Sports
Gender
More
Education
Podcasts
Kaafi Real
Special Projects
Members' Opinion
Dark Mode
Become a Member
Home
Naukri Crisis
Scamguard
Uncovering Hate
Special Projects
About Us
T&C
Privacy Policy
BECOME A MEMBER
Created by potrace 1.16, written by Peter Selinger 2001-2019
FOLLOW US ON
About Us
Contact Us
Privacy Policy
ADVERTISEMENT
REMOVE AD
×
×
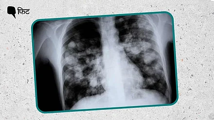
White Lung Syndrome
White Lung Syndrome बेहद गंभीर और खतरनाक, जानिए लक्षण और बचाव के उपाय
Members Only
White Lung Syndrome बेहद गंभीर और खतरनाक, जानिए लक्षण और बचाव के उपाय