White Lung Syndrome: अमेरिका और चीन में बच्चों में बढ़ते निमोनिया के मामलों ने 'व्हाइट लंग' से जुड़ी चिंता पैदा कर दी है.
व्हाइट लंग सिंड्रोम या एक्यूट रेस्पिरेटरी डिस्ट्रेस सिंड्रोम (ARDS), जिसे पल्मोनेरी इडीमा भी कहते हैं, बेहद गंभीर और खतरनाक कंडीशन है. इस बीमारी से ग्रसित लोगों के लंग्स में तरल पदार्थ भर जाता है. इस कारण फेफड़े ऑक्सीजन और कार्बन डाईऑक्साइड का आदान-प्रदान नहीं कर पाते. ऐसा होने पर रेस्पिरेट्री फेलियर की समस्या सामने आती है.
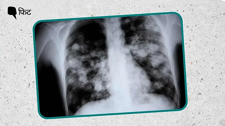
इस कंडीशन में फेफड़े में तरल पदार्थ की मौजूदगी की वजह से इमेजिंग के दौरान सफेद या अपारदर्शी धब्बे दिखाई देते हैं और इसीलिए इसे ‘व्हाइट लंग’ कहा जाता है.
यहां एक्सपर्ट बता रहे हैं व्हाइट लंग सिंड्रोम के कारण, लक्षण, बचाव और इलाज के बारे में.
क्यों होता है व्हाइट लंग सिंड्रोम?
फोर्टिस एस्कॉर्ट में पल्मोनोलॉजी विभाग के सीनियर कंसलटेंट डॉ. अवि कुमार ने क्विंट फिट को व्हाइट लंग सिंड्रोम (White Lung Syndrome) के प्रमुख कारणों के बारे में बताया.
इंफेक्शनः फेफड़ों (लंग्स) को प्रभावित करने वाले निमोनिया या दूसरे किसी इंफेक्शन की वजह से व्हाइट लंग सिंड्रोम हो सकता है.
ट्रॉमाः छाती या फेफड़ों को दुर्घटना में लगने वाली चोट या लगातार बहुत गैस रहने पर लंग्स के लिए ट्रॉमा उत्पन्न होने पर भी व्हाइट लंग सिंड्रोम हो सकता है.
सेप्सिस: लगातार इंफेक्शन रहने से इंफ्लेमेशन विकराल रूप लेकर व्हाइट लंग सिंड्रोम का कारण बन सकता है.
खतरनाक पदार्थों को सूंघने पर: कई बार खतरनाक जहरीला धुआं, केमिकल मिला हुआ धुआं या कैमिकल्स को सूंघने से भी फेफड़ों को नुकसान होता है और यह व्हाइट लंग सिंड्रोम का कारण बनता है.
फेफड़ों में पानी जाने पर: जब कोई व्यक्ति पानी में डूब रहा होता है, तब उसके फेफड़ों में पानी जाने से उन्हें नुकसान होता है और उनमें सूजन भी आती है.
कमजोर इम्यून सिस्टमः जिन लोगों का इम्यून सिस्टम किसी भी कारण से कमजोर होता है, जैसे कि कीमोथेरेपी या ऑर्गन ट्रांसप्लांट करवाने की वजह से, एचआईवी/एड्स के इन्फेक्शन के कारण तो उनमें व्हाइट लंग सिंड्रोम होने की आशंका अधिक होती है.
"बहुत-सी ऐसी स्थितियां होती हैं, जिनके कारण कोई व्यक्ति व्हाइट लंग सिंड्रोम या एक्यूट रेस्पिरेटरी डिस्ट्रेस सिंड्रोम का शिकार बन सकता है."डॉ. अवि कुमार, सीनियर कंसलटेंट- पल्मोनोलॉजी, फोर्टिस एस्कॉर्ट, ओखला
ये हैं व्हाइट लंग सिंड्रोम के लक्षण
व्हाइट लंग सिंड्रोम के लक्षणों में शामिल हैं:
सांस फूलना
बुखार
कफ
तेज-तेज सांस लेना
ब्लड में ऑक्सीजन लेवल की कमी
मतिभ्रम (Hallucinations)
"व्हाइट लंग सिंड्रोम एक मेडिकल इमरजेंसी होती है, जिसमें तत्काल गहन चिकित्सा की जरूरी होती है."डॉ. अवि कुमार, सीनियर कंसलटेंट- पल्मोनोलॉजी, फोर्टिस एस्कॉर्ट, ओखला
व्हाइट लंग सिंड्रोम से बचाव के तरीके
व्हाइट लंग सिंड्रोम या एक्यूट रेस्पिरेटरी डिस्ट्रेस सिंड्रोम (ARDS) से बचाव के लिए उन जोखिमपूर्ण हालातों से बचना होगा जिनकी वजह से हालत गंभीर हो सकते हैं. बेशक, सभी तरह के जोखिमों को पूरी तरह से दूर नहीं किया जा सकता है, लेकिन कुछ उपायों से एआरडीएस से बचाव मुमकिन है. यहां ऐसे ही कुछ उपायों के बारे में जानकारी दी जा रही हैः
इन्फेक्शन से बचाव:
साफ-सफाई का पालन करें, नियमित रूप से हाथों को धोएं ताकि इन्फेक्शन को फैलने से रोका जा सके.
इन्फ्लुएंजा और निमोनिया जैसे सांस के कुछ इन्फेक्शंस से बचाव के लिए वैक्सीन उपलब्ध हैं, इन्हें समय पर लें और अपना बचाव करें.
सांस की तकलीफ शुरू होते ही तुरंत मेडिकल हेल्प लें ताकि समस्या के गंभीर होने से बचा जा सके.
मेडिकल ट्रीटमेंट:
जिन स्थितियों के चलते व्हाइट लंग सिंड्रोम उत्पन्न हो सकता है, जैसे पानी में डूबने जैसे हालात या खतरनाक पदार्थों को सूंघना, उनके असर से बचने के लिए जल्द से जल्द मेडिकल हेल्प लें.
क्रोनिक मेडिकल कंडीशन, जैसे डायबिटी या दिल की बीमारी का इलाज करें ताकि रिस्क कम किए जा सकें.
किसी भी मेडिकल कंडीशन को गंभीर नहीं होने देना चाहिए, सांस की तकलीफ जैसे ही महसूस हो, तो तुरंत इलाज शुरू करें.
क्रोनिक कंडीशंस होने पर, जैसे अस्थमा या क्रोनिक ऑब्सट्रक्टिव पल्मोनेरी डिजीज (सीओपीडी) में डॉक्टर के संपर्क में रहें.
सेहतमंद लाइफस्टाइलः
हेल्दी लाइफस्टाइल अपनाएं, इसके लिए रेगुलर एक्सरसाइज करें और हेल्दी डाइट खाएं.
धूम्रपान और सेकंड हैंड स्मोक से बचें, क्योंकि धूम्रपान फेफड़ों के रोग के लिए बहुत बड़ा रिस्क फैक्टर होता है.
व्हाइट लंग सिंड्रोम का इलाज
एक्सपर्ट के मुताबिक, ‘व्हाइट लंग सिंड्रोम’ कई तरह की रेस्पिरेट्री कंडीशंस को कहते हैं, लेकिन इलाज के लिए यह जानना जरूरी होता है कि इसका सही कारण क्या है. अगर आपको लगता है कि किसी को सांस लेने में कठिनाई हो रही है, तो तुरंत मेडिकल हेल्प लें.
"इलाज के लिए ऑक्सीजन थेरेपी दी जाती है और मैकेनिकल वेंटिलेशन पर रखा जाता है. यह पता लगाने का प्रयास किया जाता है कि कारण क्या है, ताकि यह तय किया जा सके कि इन्फेक्शन का इलाज करना है या ट्रॉमा से निपटना है."डॉ. अवि कुमार, सीनियर कंसलटेंट- पल्मोनोलॉजी, फोर्टिस एस्कॉर्ट, ओखला
