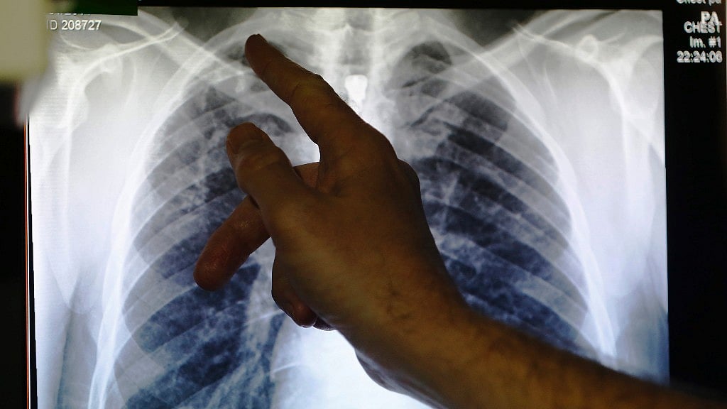
India's tuberculosis burden is the world's largest, but our response to the scourge has been weak.
An 18-year-old girl is fighting not only a war against a strain of drug-resistant TB, but also a legal battle to obtain a strictly regulated new medicine that could save her life.
Her father has filed a lawsuit to compel the government to lift the restrictions on bedaquiline, an antibiotic by Johnson & Johnson that is perhaps the first new treatment for TB in half a century.
The Modi government has imposed strict controls over acquiring bedaquiline as according to medical experts, the overuse of older antibiotics has resulted in the spate of drug-resistant TB in the country. The use of bedaquiline has therefore been restricted to preserve its effectiveness. It is available only in five states across the country, and only as a last resort.
The suit, filed in a court in the capital, will come up for hearing on Monday.
The government said it intends to slowly increase access to the drug. The girl's lawyer, Anand Grover of Lawyers Collective, told Bloomberg that her case could become a catalyst in that process.
The lawyer for the government hospital in question, Saket Sikri, argued in court that a test must be administered to prove there's no other option, as per the rules surrounding the use of bedaquiline.
But these tests and their results could take six weeks, her lawyer and father argue. The girl in the meantime, already weighs about 24 kilograms and cannot afford any other delays.
India is so restrictive on its policies on bedaquiline and who can get it they turn these seemingly medical issues into bureaucratic ones.Jennifer Furin, lecturer at Harvard Medical School who reviewed the girl’s medical records and provided an opinion to the court.
In Furin's report, she stated the drug could give her an 80 percent chance of survival.
What this 18-year-old's case could hinge on is the government's inability to defend the assertion that she needs to undergo new tests to prove she really needs the drug. Her family says they were initially told she could not access the drug, as she was not from a state that is designated to administer it.
In Monday's hearing, which may be the case’s last, the court has asked the government for an explanation.
Meanwhile, the girl’s father told Bloomberg she is hopeful. "Whether I get better or not, there will be a lesson and other patients will be benefited in future," she reportedly told him.
(Source: Bloomberg)

